

Nha khoa Mạnh Hùng
Nha khoa Mạnh Hùng được thành lập với sứ mệnh mang đến cho mọi khách hàng nụ cười khỏe đẹp, tự tin và rạng rỡ. Với hơn 15 năm kinh nghiệm trong lĩnh vực nha khoa, chúng tôi tự hào là địa chỉ tin cậy của hàng nghìn khách hàng trong và ngoài khu vực.
Phóng khám được trang bị công nghệ nha khoa hiện đại, hệ thống vô khuẩn tiêu chuẩn quốc tế, đảm bảo an toàn tuyệt đối trong mọi dịch vụ: niềng răng, trồng răng implant, bọc răng sứ thẩm mỹ, điều trị tổng quát và chăm sóc răng miệng toàn diện.
Đội ngũ bác sĩ chuyên môn cao, giàu kinh nghiệm cùng nhân viên tận tâm luôn đồng hành cùng bạn trong suốt quá trình điều trị, mang lại kết quả tối ưu với chi phí hợp lý.
Nha khoa Mạnh Hùng tin rằng mỗi nụ cười đều có giá trị riêng, và nhiệm vụ của chúng tôi là giúp bạn tỏa sáng với nụ cười khỏe đẹp nhất.
Bác Sĩ Chuyên Khoa II
NGUYỄN MẠNH HÙNG
Chứng chỉ chuyên môn
Tốt nghiệp Đại Học Y Hà Nội 2002
Tốt nghiệp Bác Sĩ Chuyên Khoa II năm 2020. Đề tài cấy ghép Implant tức thì sau nhổ răng.
Tốt nghiệp chương trình Implant chuyên sâu của học viện gIDE và Đại Học Loma Linda (Mỹ).
Tham gia Chương trình đào tạo lâm sàng cấy ghép Implant All-on-4 tại Singapore.
Tham dự khóa đào tạo “Chuyên gia lâm sàng về cấy ghép nha khoa”. Do Viện Đào tạo gIDE kết hợp với Bệnh viện Răng Hàm Mặt Trung ương TP.HCM.
Tốt nghiệp chương trình cấy ghép implant Zygoma và Pterygoid tại Ramaiah University of Applied Sciences.
Kinh nghiệm trên 15 năm cấy ghép Implant.
DỊCH VỤ CỦA CHÚNG TÔI
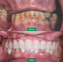
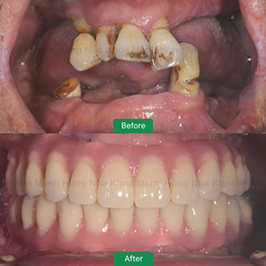
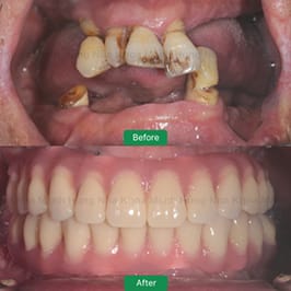
Cấy ghép implant
Cấy ghép Implant là lựa chọn hàng đầu để thay thế răng đã mất, mang đến giải pháp bền vững và tự nhiên như răng thật.
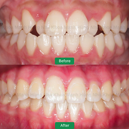
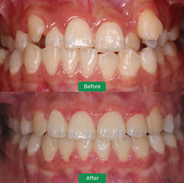
Chỉnh nha
Chỉnh nha giúp răng đều đẹp, cải thiện nhai và phát âm, mang đến nụ cười tự nhiên, cân đối, khỏe mạnh và tự tin lâu dài.
Răng sứ
Răng sứ không chỉ thay đổi diện mạo nụ cười mà còn mang lại sự tự tin, bền chắc và vẻ đẹp tự nhiên theo thời gian.
Nha khoa tổng quát
Nha khoa tổng quát mang đến dịch vụ khám, làm sạch, điều trị định kỳ, giúp bạn duy trì hàm răng khỏe đẹp và tự tin mỗi ngày..
TẠI SAO KHÁCH HÀNG NÊN CHỌN NHA KHOA MẠNH HÙNG ?
Ai cũng xứng đáng sở hữu nụ cười khỏe đẹp.
Nha khoa Mạnh Hùng mang đến dịch vụ chất lượng cao, chi phí hợp lý, công nghệ hiện đại và đội ngũ bác sĩ giàu kinh nghiệm.
Chúng tôi cung cấp giải pháp toàn diện từ thẩm mỹ đến điều trị, cam kết mang lại kết quả tối ưu và trải nghiệm thoải mái cho khách hàng.
+ 18K
Nụ cười rạng rỡ sau điều trị
96%
Tỷ lệ hài lòng của khách hàng
NỤ CƯỜI KHÁCH HÀNG
CẢM NHẬN & ĐÁNH GIÁ TỪ KHÁCH HÀNG
Google Reviews
“Mình chọn làm răng sứ tại Nha khoa Mạnh Hùng sau khi được bạn bè giới thiệu. Phòng khám hiện đại, sạch sẽ, nhân viên hỗ trợ nhiệt tình từ khâu thăm khám đến chăm sóc sau điều trị. Sau khi hoàn thành, nụ cười của mình thay đổi rõ rệt và tự nhiên.”
-Thủy Nguyễn
Google Reviews
“Răng mình khấp khểnh nên cười toàn phải che miệng. Sau khi niềng ở đây được vài tháng, mình thấy răng thay đổi rõ rệt. Đúng là có hơi ê lúc siết dây, nhưng bác sĩ hỗ trợ tốt nên cũng dễ chịu, kết quả khiến mình rất hài lòng.”
-Thanh Đạt
Google Reviews
Ban đầu mình nghĩ trồng implant sẽ phức tạp và đau, nhưng trải nghiệm ở đây lại rất nhẹ nhàng. Bác sĩ tư vấn kỹ, trang thiết bị hiện đại, làm xong răng nhìn tự nhiên lắm. Giờ mình ăn uống bình thường và cũng yên tâm hơn cho sức khỏe.
-Phúc Lâm
Google Reviews
“Đi khám răng định kỳ ở đây, ấn tượng đầu tiên là phòng khám rất gọn gàng, hiện đại, có mùi sát khuẩn nhẹ nên cảm giác an toàn. Nhân viên hướng dẫn chu đáo từ khâu tiếp đón đến khi ra về. Bác sĩ cũng giải thích cặn kẽ tình trạng răng miệng, khiến mình rất yên tâm.”
-Minh An
