Hàn răng là gì? Quy trình, chi phí và những điều bạn cần biết trước khi thực hiện
1. Hàn răng là gì?
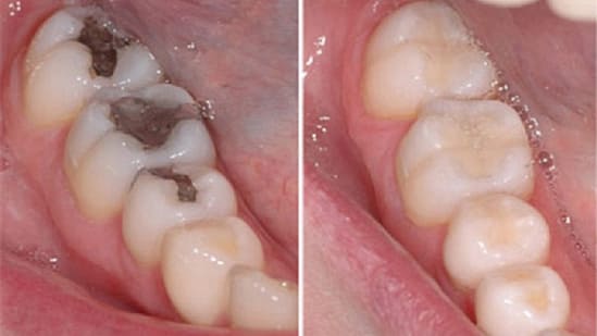
Hàn răng (hay còn gọi là trám răng) là phương pháp phục hồi hình dạng và chức năng của răng bị sâu, sứt, mẻ hoặc mòn men. Bác sĩ sẽ sử dụng vật liệu nha khoa chuyên dụng để “bù đắp” lại phần răng đã mất, giúp răng trở lại hình dáng ban đầu, đảm bảo ăn nhai bình thường và tính thẩm mỹ cao.
Bài viết này, Nha khoa Mạnh Hùng sẽ giải thích rõ cho bạn biết quy trình hàn răng, chi phí và những điều cần lưu ý trước khi thực hiện. Nếu bạn đang gặp tình trạng răng hư tổn, hãy cùng tìm hiểu để lựa chọn giải pháp phù hợp, lấy lại nụ cười sáng khỏe và tự tin hơn mỗi ngày.

2. Khi nào cần hàn răng?
Bạn nên thực hiện hàn răng trong các trường hợp sau:
-
Răng bị sâu nhẹ đến vừa, chưa ảnh hưởng đến tủy.
-
Răng sứt mẻ, mòn men do va chạm hoặc thói quen nghiến răng.
-
Răng bị khe hở nhỏ, muốn cải thiện tính thẩm mỹ.
-
Sau khi điều trị sâu răng, cần phục hồi lại hình dạng ban đầu.
Việc hàn răng kịp thời giúp ngăn ngừa vi khuẩn tấn công sâu hơn vào mô răng, bảo vệ răng thật và tủy răng, đồng thời duy trì nụ cười sáng khỏe.

3. Quy trình hàn răng tại Nha khoa Mạnh Hùng
Quy trình hàn răng tại Nha khoa Mạnh Hùng được thực hiện chuẩn y khoa, đảm bảo nhanh chóng – không đau – an toàn tuyệt đối:
Bước 1: Khám và kiểm tra tình trạng răng
Bác sĩ tiến hành thăm khám, chụp X-quang (nếu cần) để xác định mức độ tổn thương và đưa ra phương án điều trị phù hợp.
Bước 2: Làm sạch và gây tê nhẹ (nếu cần)
Vùng răng sâu hoặc sứt mẻ sẽ được làm sạch, loại bỏ hoàn toàn mô răng hư hại. Với những trường hợp nhạy cảm, bác sĩ sẽ gây tê cục bộ để bạn hoàn toàn thoải mái.
Bước 3: Tiến hành hàn răng
Bác sĩ sử dụng vật liệu hàn (thường là Composite thẩm mỹ) để trám vào vùng bị tổn thương, tạo hình lại răng sao cho khớp cắn và hình dáng tự nhiên nhất.
Bước 4: Chiếu đèn quang trùng hợp
Đèn quang được sử dụng để làm đông cứng vật liệu hàn, giúp miếng trám bám chắc và bền lâu.
Bước 5: Chỉnh hình và đánh bóng
Cuối cùng, bác sĩ mài chỉnh nhẹ, đánh bóng bề mặt răng để đảm bảo sự tự nhiên, không gồ ghề và giúp bạn cảm thấy thoải mái khi ăn nhai.
4. Chi phí hàn răng là bao nhiêu?
Chi phí hàn răng phụ thuộc vào tình trạng răng, vật liệu sử dụng và kỹ thuật thực hiện.
Tại Nha khoa Mạnh Hùng, chi phí hàn răng dao động từ 200.000 – 600.000 VNĐ/răng, tùy từng trường hợp cụ thể.
Đặc biệt, khách hàng được khám và tư vấn miễn phí, cùng chính sách bảo hành trám răng rõ ràng – giúp bạn an tâm tuyệt đối sau khi điều trị.
5. Ưu điểm khi hàn răng tại Nha khoa Mạnh Hùng
-
Bác sĩ giàu kinh nghiệm, thực hiện chính xác, nhẹ nhàng, không đau.
-
Công nghệ hàn răng hiện đại, sử dụng đèn quang và vật liệu Composite nhập khẩu.
-
Màu răng tự nhiên, khó nhận biết bằng mắt thường.
-
Thời gian nhanh, chỉ 15–30 phút cho một răng.
-
Bảo tồn tối đa răng thật, phục hồi ăn nhai và thẩm mỹ cao.
6. Lưu ý sau khi hàn răng
Sau khi hàn răng, bạn nên:
-
Hạn chế ăn đồ quá cứng hoặc quá nóng/lạnh trong 24h đầu.
-
Giữ vệ sinh răng miệng đúng cách, đánh răng 2 lần/ngày.
-
Tái khám định kỳ 6 tháng/lần để kiểm tra tình trạng miếng trám.
Việc chăm sóc tốt giúp miếng hàn bền đẹp lâu dài, duy trì răng thật khỏe mạnh.
7. Nha khoa Mạnh Hùng – Địa chỉ hàn răng uy tín tại Hải Phòng
Với đội ngũ bác sĩ chuyên môn cao, trang thiết bị hiện đại và phong cách phục vụ tận tâm, Nha khoa Mạnh Hùng là địa chỉ được nhiều khách hàng tại Hải Phòng tin chọn khi cần hàn răng thẩm mỹ.
Hãy đến để được khám – tư vấn – hàn răng an toàn, nhẹ nhàng và hiệu quả, giúp bạn lấy lại nụ cười tự tin và răng khỏe bền lâu.
8. Liên hệ
Bạn đang băn khoăn không biết nên lựa chọn dịch vụ nha khoa nào phù hợp?
Hãy đến ngay Nha khoa Mạnh Hùng để được đội ngũ bác sĩ chuyên khoa tận tâm tư vấn và thăm khám chi tiết, cùng nhiều ưu đãi hấp dẫn dành riêng cho khách hàng mới.
Liên hệ ngay để được hỗ trợ:
Hotline: 0934.366.399
Địa chỉ: Số 45, Tôn Đức Thắng, An Biên, Hải Phòng
Facebook: Nha Khoa Mạnh Hùng
Email: info.nhakhoamanhhung@gmail.com
- Trồng răng implant là gì? Giá bao nhiêu tiền tại Nha khoa Mạnh Hùng
- Những trường hợp không được nhổ răng khôn: Bác sĩ khuyến cáo cần lưu ý
- Khác biệt giữa răng sứ và veneer: Bạn nên chọn gì?
- Tại Sao Robot Định Vị X – GUIDE Là Công Nghệ Đỉnh Cao Trong Cấy Ghép Implant?
- Răng sứ Zirconia: Độ bền, màu sắc và chi phí

















